Skip to main content

Sonographie

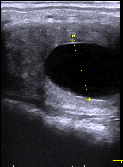
Die Ultraschalluntersuchung (Sonographie) ist das Mittel der Wahl zur Untersuchung von Weichteilgewebe (Muskulatur, Sehnen, Gelenkkapseln, Körperorgane u. a.). Wir setzen die Ultraschalluntersuchung in der Orthopädie, Gynäkologie, Inneren Medizin, bei Augen- und Fohlenerkrankungen ein.

In der Orthopädie ist der Ultraschall in hochauflösender Darstellung ein unverzichtbares Hilfsmittel zur genauen Untersuchung und Quantifizierung von Schäden an Sehnen, Bändern und Gelenken. Die Zyklus- und Trächtigkeitsdiagnostik im Rahmen der Gynäkologie wird durch die Sonographie spezifiziert und optimiert. In der Inneren Medizin kommt zur Untersuchung der Bauchhöhle und Bauchhöhlenorgane (z. B. Darm, Magen, Niere, Blase, Leber) ein Ultraschallgerät mit größerer Eindringtiefe zum Einsatz. Bei der Augenuntersuchung ist die Sonographie ein wichtiges Hilfsmittel zur Beurteilung der hinteren Augenabschnitte. Der Nabel und die Bauchhöhle des Fohlens können gut mittels Sonographie auf krankhafte Veränderungen untersucht werden.



Notfallnummern

Dr. Hagar Steiff:
01776688244

Dr. Sonja Finsler:
01776688245

Kontakt

Dr. Hagar Steiff:

Talhäuser Str. 16
72072 Tübingen
01776688244
kontakt@pferdepraxis-steiff.de


Dr. Sonja Finsler:

Talwiesenweg 6
72655 Altdorf
01776688245
kontakt@pferdepraxis-finsler.de


Praxiszeiten

Stallbesuche:
8:00 - 18:00 Uhr
nach Vereinbarung  

Notdienst:
täglich 24 Stunden